Crowns

At Fox Family Dental, we do both cosmetic and restorative crowns!

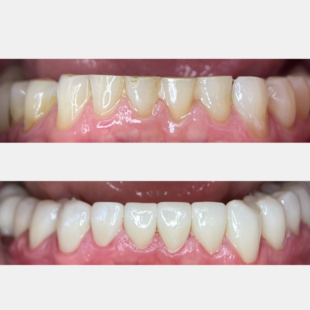
One of the most common procedures we perform in our office is a crown prep. Crowns are designed to protect and strengthen your tooth and improve your smile aesthetics. We use materials like porcelain and gold and create crowns through both local labs and digital labs that we absolutely love!

Think you might need a crown or are looking to aesthetically enhance your smile? Book a check-up today!